Por que devemos ter mais cuidado com as pneumonias e como podemos nos proteger melhor?
O doutor Antonio Torres, chefe do Serviço de Neumología do Hospital Universitari Geral de Cataluña explica os factores de risco e como afecta aos pulmões esta infecção
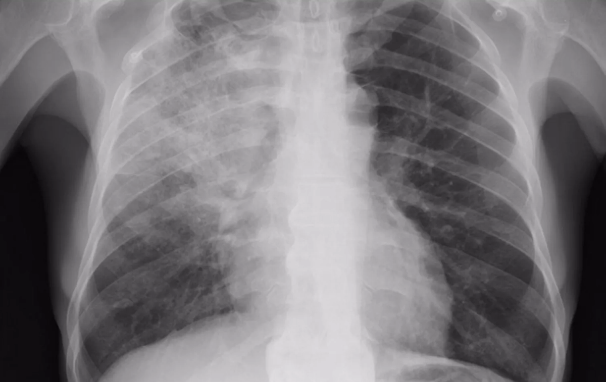
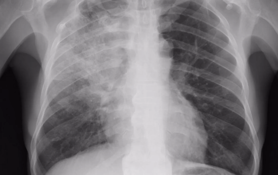
A pneumonia é a infecção do pulmão por bactérias como o neumococo, por vírus como a gripe ou o Covid-19, ou por vírus e bactérias ao mesmo tempo. Estas infecções produzem inflamación e dano no tecido dos pulmões levando os alvéolos pulmonares de pus e líquido e impedindo o correcto intercâmbio de ar para a oxigenación do sangue e a eliminação de dióxido de carbono ao exterior. É muito frequente, sobretudo, na estação que já assoma: o inverno.
"A inalação de aerosoles microscópicos aos pulmões e as microaspiraciones de conteúdo orofaríngeo às vias aéreas são as causas mais frequentes de pneumonia", adverte o doutor Antonio Torres, chefe do Serviço de Neumología do Hospital Universitari Geral de Cataluña (Quirónsalud). No entanto, a probabilidade de padecer pneumonia depende de outros muitos factores e hábitos.
Que aumenta a probabilidade
Como aponta Torres a Consumidor Global, ainda que a pulmonía pode afectar a qualquer pessoa a qualquer idade, é mais habitual em maiores de 65 anos e em meninos menores de cinco anos. Ademais, tem maior prevalencia entre fumadores ou alcohólicos, ou quando se dão "condições que alteram a inmunidad".

Uma pessoa sã respira entre 10 e 15 vezes por minuto e as bactérias e o vírus respiratórios que vivem nas fosas nasales (nariz), os seios paranasales e a boca são os microorganismos que podem infectar o pulmão e causar pneumonia com mais frequência. A infecção também pode se produzir por aspiração de alimentos ou secreciones que chegam desde a boca aos pulmões ou por inalação de microorganismos que estejam no meio ambiente ou que se inhalen após toser ou estornudar uma pessoa infectada.
Os sintomas
"Geralmente há um sintoma respiratório como tosse ou expectoración, ou dor torácico", explica o doutor, que acrescenta que no 30 % de pacientes maiores não há casos de febre. Isso sim, os adultos a mais de 65 anos podem apresentar desorientación ou mudanças de percepção mental e temperatura corporal mais baixa do normal.
Por outro lado, podem produzir-se outra classe de sintomas como fadiga, náuseas, vómitos, diarrea ou dificuldade para respirar. "Quanto às complicações que se possam sofrer, entre as mais frequentes estão a insuficiência respiratória que se trata com oxigénio e a sepsis que tratar-se-á segundo a disfunción do órgão afecto", enfatiza Torres.
Medidas de prevenção
Entre as medidas de prevenção que se podem adoptar para evitar a pneumonia, o experiente de Quirónsalud recomenda levar "uma vida saudável e evitar hábitos tóxico – como não fumar e manter uma boa higiene lavando as mãos de forma regular– e, também é efectivo ter ao dia a administração das vacinas recomendadas".
"Recomendam-se, em general, as vacinas para a influenza, o neumococo e o Covid-19, mas, sobretudo, a pacientes a mais de 65 anos ou que tenham doenças concomitantes graves", expõe Torres. "Por outro lado, as vacinas contra o vírus respiratório sincitial para gestantes e adultos já estão aprovadas mas ainda não incluídas no calendário vacunal", avança o doutor a Consumidor Global.
Que mitos e falsas crenças existem sobre a pneumonia?
O clima que muda em horas, o sol que ainda aquece pela manhã até que chega uma nuvem fria, a noite com baixas temperaturas que fazem recordar a jaqueta esquecida. Um estornudo que lhe segue outro. "O tópico de que apanhei frio e depois tive uma pneumonia é falso. Quando se tem frio já estás contagiado muito provavelmente", aponta Torres sobre os mitos e falsas crenças que existem sobre a pneumonia.
"Ademais, cabe recalcar que tanto pneumonia como pulmonía são termos sinônimos, e não duas infecções diferentes", também assinala o chefe do Serviço de Neumología do Hospital Universitari Geral de Cataluña.